You might not even know you’re doing it. For many people, the only sign that something’s wrong is waking up with a sore jaw, a dull headache, or sensitive teeth. While it’s easy to dismiss these symptoms as just a bad night’s sleep or stress, they’re often indicators of bruxism—chronic teeth grinding or clenching.
At Commonwealth Endodontics, we see the aftermath of this habit daily. While teeth grinding sounds like a minor annoyance, it can be incredibly damaging to your oral health due to the immense pressure it exerts on your enamel. Over time, this force compromises the structural integrity of your teeth. The result is often deep fractures that extend beyond the surface.
If you’re dealing with unexplained pain or sensitivity, you need to understand the connection between grinding and severe dental damage. Ignoring the signs often leads to complex issues requiring specialized treatmentto save your natural tooth.
What’s Bruxism and Why Does It Happen?
Bruxism is the medical term for grinding, gnashing, or clenching your teeth. It can happen while you’re awake (awake bruxism) or, more commonly, while you’re asleep (sleep bruxism).
When you sleep, you have no control over the force your jaw muscles exert. During sleep bruxism, the biting force can be up to six times greater than normal chewing. Imagine that kind of pressure repeated night after night.
Why Do We Grind?
The causes are often a mix of physical, psychological, and genetic factors:
- Stress and Anxiety: This is the most common trigger. Tension often manifests physically in the jaw muscles.
- Sleep Disorders: Conditions like sleep apnea are strongly linked to grinding.
- Bite Alignment: If your teeth don’t fit together smoothly, your jaw may grind in an attempt to find a comfortable resting position.
- Lifestyle Factors: High caffeine intake, alcohol consumption, and tobacco use can increase the likelihood of grinding.
Regardless of the cause, the outcome is predictable: your teeth wear down, weaken, and eventually break.
The Hidden Dangers: How Grinding Destroys Structure
Enamel is the hardest substance in the human body, but it’s not indestructible. It’s designed to handle the vertical force of chewing food, not the horizontal friction of grinding.
When you grind your teeth, you’re sanding them down. Initially, this might just look like flattened biting surfaces. But as the protective enamel thins, the softer dentin underneath is exposed. This leads to heightened sensitivity to hot and cold temperatures.
More concerning than surface wear is the internal stress. The constant flexing of the tooth under pressure creates micro-fractures. Over time, these microscopic cracks propagate. They spread deeper into the tooth, traveling toward the root. This is where bruxism goes from a general dental issue into an endodontic emergency.
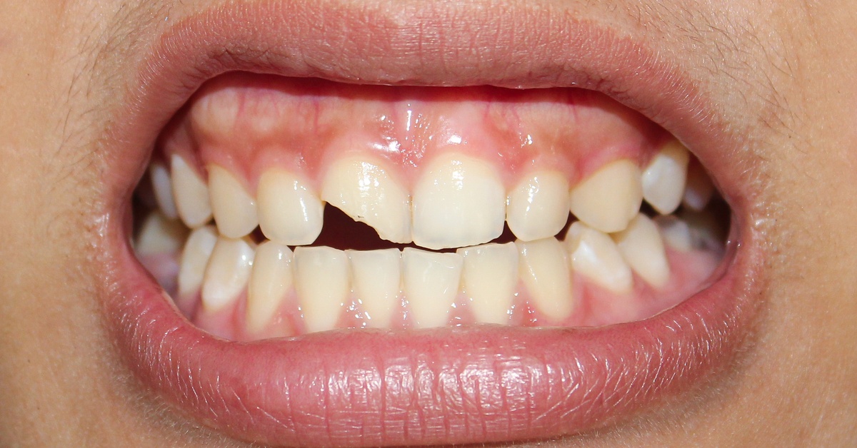
Identifying a Cracked Tooth

A cracked tooth can be elusive. Unlike a cavity, which is usually clearly visible on an X-ray, a crack can be hairline-thin and difficult to spot. But your body usually gives you signals that a fracture is present.
If you experience sharp pain when biting down that vanishes quickly when you release pressure, you likely have a crack. The pain occurs because biting causes the crack to open slightly, irritating the soft tissue inside the tooth. When you release, the crack snaps shut, causing a sharp jolt.
Other symptoms include:
- Erratic pain that comes and goes.
- Pain when eating or drinking specific temperatures.
- Swelling of the gum around a specific tooth.
If the crack extends into the pulp—the living center of the tooth containing nerves and blood vessels—the pulp can become inflamed or infected. This is often when patients call us in significant pain, needing immediate relief.
Cracked Teeth Treatment: Saving Your Smile
Once a tooth is cracked, it won’t heal on its own. Unlike a broken bone, a tooth cannot knit itself back together. The goal of treatment is to stabilize the tooth, stop the crack from spreading, and protect the internal pulp.
The type of treatment we recommend depends entirely on the location, type, and severity of the crack.
Minor Cracks (Craze Lines and Cusp Fractures)
Superficial cracks that only affect the outer enamel (craze lines) rarely need treatment beyond cosmetic considerations. If a piece of the chewing surface breaks off (fractured cusp), a general dentist can often restore the tooth with a filling or a crown to protect it from further damage.
Deep Cracks Extending to the Pulp
When a crack penetrates deep enough to irritate or infect the pulp, a root canal is necessary. During this procedure, we remove the inflamed or infected pulp, clean the internal canals, and seal them. This removes the pain and eliminates infection. Following the root canal, your restorative dentist will crown the tooth. The crown acts like a helmet, holding the cracked segments together and preventing the fracture from spreading further.
Split Teeth and Vertical Root Fractures
If bruxism is left unchecked, a crack can evolve into a split tooth, where the tooth physically separates into distinct segments. Unfortunately, a split tooth can rarely be saved intact. But in some instances, we can perform hemisection (removing one root) to save a portion of the tooth.
Vertical root fractures start in the root and move upward. These are notoriously difficult to detect until the surrounding bone and gum become infected. In these severe cases, extraction may be the only option to preserve the health of the jawbone. This highlights why early intervention is so critical.
Prevention: Stopping the Grind Before It Breaks

Treating the cracked tooth fixes the immediate damage, but it doesn’t solve the underlying problem. If you continue to grind, you risk breaking the restoration or cracking other teeth.
Once we’ve addressed the acute issue with appropriate treatment, we strongly advise patients to address the bruxism itself.
The Night Guard Defense
The most effective protection against sleep bruxism is a custom-fitted night guard (occlusal splint). While you can buy generic guards at a pharmacy, a custom guard made by a dentist offers superior protection because it’s made to fit your unique bite.
Stress Management
Since stress is a primary driver of bruxism, finding ways to decompress can physically relax your jaw muscles. Techniques such as meditation, physical therapy, or even warm compresses on the jaw before bed can reduce tension.
Don’t Wait for the Crack to Spread
Why is teeth grinding so bad for your oral health? Because it’s a progressive condition. What starts as mild sensitivity can quickly turn into a fractured tooth that jeopardizes your oral health. Your teeth are meant to last a lifetime, but they need protection against the incredible forces of bruxism.
If you suspect you’re grinding your teeth, or if you’re already experiencing the sharp pain of a potential crack, don’t wait for the symptoms to worsen. Early diagnosis gives us the best chance of saving your natural tooth.
Whether you need an evaluation of a painful tooth or cracked teeth treatment for a deep fracture, our team is here to help. Contact Commonwealth Endodontics today to schedule an appointment. Let’s protect your smile from the pressure.